Athina, Attiki Oct 23, 2024 (Issuewire.com) - Orthodontics is a specialized branch of dentistry that focuses on diagnosing, preventing, and correcting misalignments of the teeth and jaws.
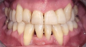
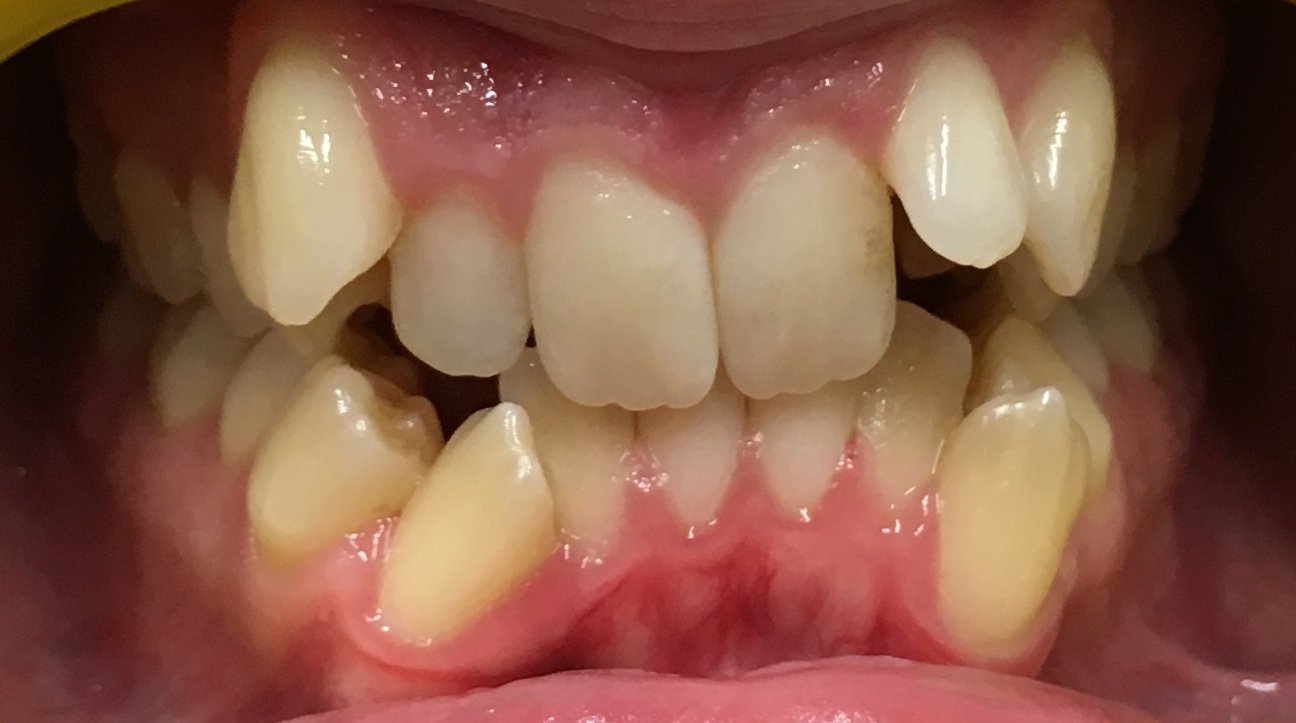
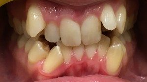
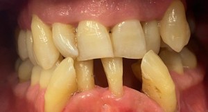
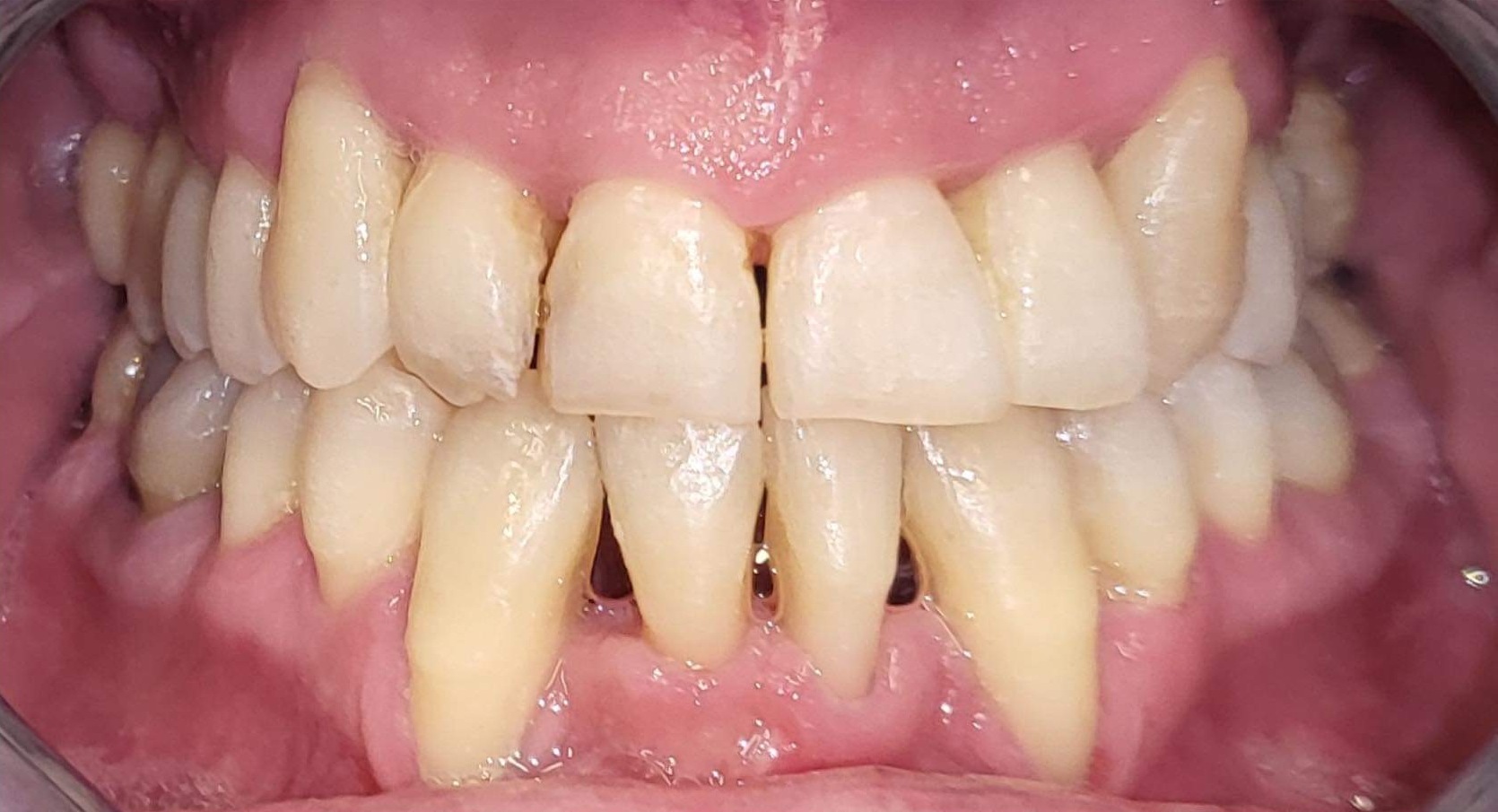
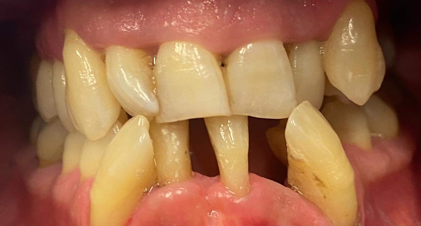
What is Orthodontics? Orthodontic treatment aims to address various dental issues, including malocclusion (improper bite), crooked or irregularly positioned teeth, and jaw alignment problems. These conditions can lead to challenges in chewing, jaw pain, and difficulties in maintaining oral hygiene, which may result in dental issues such as cavities and gum disease. With advances in technology, innovative solutions are now available, offering faster and more comfortable results. One of the most popular systems today is Fastbraces. Our clinics specialize in the revolutionary Fastbraces technology, which is designed to straighten teeth fast and safely. www.fastbracesgreece.gr
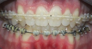
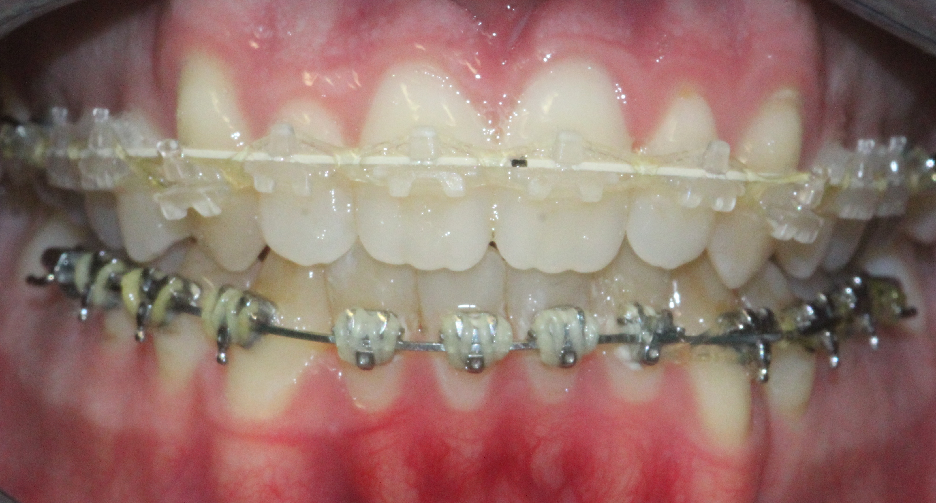
What Are Fastbraces®?
Fastbraces® is a revolutionary orthodontic treatment designed to align teeth quickly and efficiently, reducing the treatment time compared to traditional methods. This technology utilizes a unique triangular bracket design along with a specialized wire that simultaneously aligns both the crown and root of the teeth. This dual-action system accelerates the alignment process, significantly shortening the duration of treatment.
Benefits of Fastbraces®
Fastbraces® offers numerous advantages for patients seeking an effective and comfortable orthodontic solution:
• Speed: Unlike traditional braces, which may take two to three years or longer, Fastbraces® can complete treatment in as little as 3 to 12 months, depending on the individual case.
• Reduced Discomfort: Thanks to their modern design, Fastbraces® are engineered to cause less discomfort, making the treatment more tolerable for patients.
• Fewer Visits: Fastbraces® require fewer appointments, saving patients both time and effort.
• Aesthetic Options: Fastbraces® are available in clear brackets, offering a more discreet and visually appealing option for patients concerned about the appearance of their braces.
Who Can Benefit from Orthodontic Treatment? Orthodontic care is not only for children and teenagers. Adults who want to correct misaligned teeth, malocclusion, or jaw irregularities can also benefit from treatment. These conditions not only impact one’s confidence but also overall oral health. Orthodontic treatment, particularly with Fastbraces®, offers a swift and comfortable way to achieve a healthy, beautiful smile.
The Fastbraces® Treatment Process
The Fastbraces® treatment process begins with an initial consultation, during which the orthodontist evaluates the position of the teeth and jaws to create a personalized treatment plan. The triangular brackets are then placed on the teeth, and when combined with the specially designed wire, the alignment process begins. Appointments are typically scheduled every 4 to 6 weeks, during which the orthodontist monitors progress and makes any necessary adjustments.
Why Choose Fastbraces®?
Fastbraces® presents a cutting-edge approach to orthodontic care, providing patients with the opportunity to achieve a healthy and attractive smile in a shorter timeframe. With lower costs and enhanced comfort, combined with impressive results, Fastbraces® is an excellent choice for those seeking fast and reliable outcomes. At Fastbraces Greece, our goal is to deliver top-quality orthodontic care using the latest technologies to provide our patients with optimal results. Contact us today for a personalized consultation, and start your journey toward the perfect smile!
Media Contact
Fastbraces Greece fastbraces@hotmail.gr http://www.fastbracesgreece.gr



