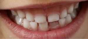
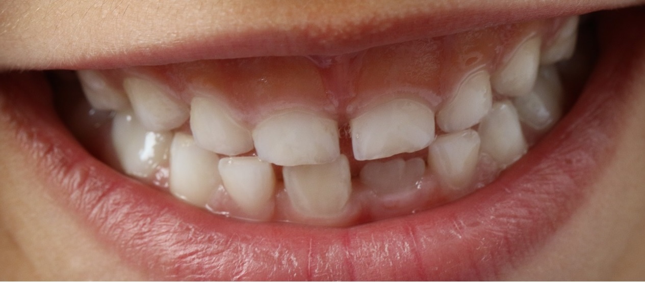
Nashville, Tennessee Jul 15, 2024 (Issuewire.com) - Nashville Smiles is shedding light on an often-overlooked dental condition that can significantly impact a child's oral health: Tooth agenesis is a congenital condition where certain teeth never develop. It can affect both primary (baby) teeth and permanent (adult) teeth, with permanent teeth being the most commonly impacted.
Dr. Robert Winfree, a leading expert at Nashville Smiles, emphasizes the importance of early detection and intervention. "Tooth agenesis is more common than many parents realize," says Dr. Winfree. "Understanding this condition and its implications can help parents make informed decisions about their child's dental health."
What Is Tooth Agenesis?
Tooth agenesis is a developmental anomaly that occurs when one or more teeth fail to form during the early stages of dental development. This condition can lead to various oral health challenges, including:
- Misalignment of Teeth: Missing teeth can cause adjacent teeth to shift into the vacant spaces, leading to crowding and misalignment.
- Chewing Difficulties: The absence of certain teeth can affect a child's ability to chew food properly, potentially leading to digestive issues and nutritional deficiencies.
- Speech Impediments: Missing teeth can interfere with proper speech development, causing difficulties in pronunciation and articulation.
- Self-Esteem Issues: Children with visible missing teeth may feel self-conscious about their appearance, which can affect their social interactions and self-confidence.
Addressing Tooth Agenesis with Implant Dentistry, Dentures, and Orthodontics
Early diagnosis and a tailored treatment plan are crucial for managing tooth agenesis effectively. Dr. Winfree and the team at Nashville Smiles offer a range of solutions to address this condition, including:
- Orthodontic Treatment: Braces or other orthodontic appliances can help correct misalignment caused by missing teeth.
- Dental Implants: For older children and adults, dental implants can replace missing teeth and restore functionality and aesthetics.
- Removable Prosthetics (Dentures): Partial dentures can be used as a temporary or permanent solution to replace missing teeth.
- Cosmetic Dentistry: Veneers or bonding can improve the appearance of teeth adjacent to the gaps left by missing teeth.
Why Choose Nashville Smiles?
At Nashville Smiles, we are committed to providing comprehensive, compassionate care tailored to each patient's unique needs. Dr. Winfree and our dedicated team use the latest advancements in dental technology to ensure the best possible outcomes for our patients.
About Dr. Robert Winfree
Dr. Robert Winfree is a renowned dentist with extensive experience in treating a variety of dental conditions, including tooth agenesis. He is dedicated to helping patients achieve optimal oral health through personalized care and innovative treatment options.
Contact Information:
Nashville Smiles
8090 TN-100
Nashville TN 37221
615-646-3549
https://www.nashvillesmiles.com/
Media Contact
Nashville Smiles nashvillesmiles1@gmail.com 615-646-3549 8090 TN-100 https://www.nashvillesmiles.com/



