Middleton, Wisconsin Apr 19, 2022 (Issuewire.com) - In 2014, at the University of Wisconsin-Madison (UW) School of Veterinary Medicine, veterinarians Dr. Peter Muir and Dr. Mark Markel realized the equine veterinary world had a problem: veterinarians were underutilizing computed tomography (CT) for their patients. CT scans can provide detailed images that are superior to radiographs and invaluable to developing treatment plans, but traditional thinking limited the imaging technique to a horse’s head and neck. On top of that, there were no true equine CT scanners on the market, and most clinicians had to be content with using what amounted to a human-machine that was repurposed for equine use.
But what if there was a better way? Why settle for only ‘good enough’?
Dr. Muir and Dr. Markel, together with co-founders Dr. Thomas “Rock” Mackie and Dr. David Ergun, started Asto CT in 2016 with the mission of developing an equine standing CT system specifically for horses. By partnering with CT supplier Photo Diagnostic Systems (Boston, MA), Asto CT was able to rapidly develop the Equina®, the first and only true standing CT for horses that can be used to prevent and diagnose fractures of the lower limbs, as well as diagnose diseases of the head and neck with minimal sedation. The first unit was installed in 2019 at the UW for clinical trials.
This cutting-edge solution has demonstrated a number of key advantages over repurposed equine CT scanners:
- A safer experience for horses, handlers, and clinicians
- More accurate diagnoses using detailed imaging
- More efficient use of staff and practice resources
Let’s look a little closer into each of these areas to understand why the vets who use the Equina® on a daily basis now “can’t live without it” as reported by UW Surgeon and Clinical Professor, Sabrina Brounts, DVM, MS, Ph.D., DACVS, DECVS, DACVSMR (Equine).
Safety
The primary safety benefits of the Equina® stem from the fact that it allows horses to remain in a natural standing position. Repurposed human CT scanners often demands that a horse is under general anesthesia, which carries the risk of a litany of very serious complications, including death. In addition, moving an unconscious horse often necessitates the use of a hoist, which poses additional risks to both patients and caregivers.
However, the Equina® was designed with animals and human handlers in mind. For limb imaging, the horse is mildly sedated and led into the room to be placed in the target ring of the padded gantry. The imaging apparatus can also be rotated upwards 90 degrees to scan the head and neck. Either way, the horse remains standing with a handler throughout the imaging process. The machine is double shielded with low dose radiation scatter which allows horse handlers and operators to stay with the patient, making them better able to respond to signs of distress and prevent injuries. In the event a horse does become unruly, the Equina is rugged enough to withstand stomping, kicking, and even rearing. After use, because the Equina imaging components are completely sealed from dust and liquids, the entire device can easily be cleaned and disinfected without fear of damaging the internal components.
Accuracy
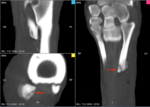
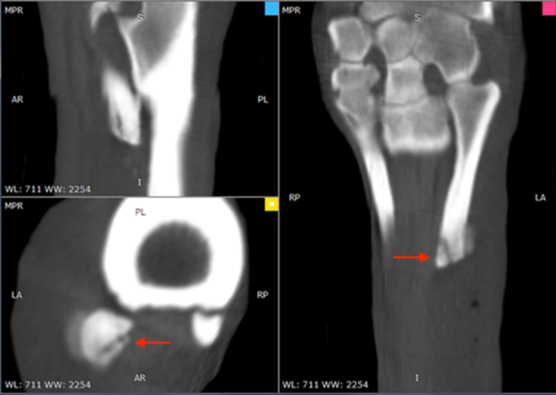
The Equina® is a multi-slice, fan beam helical CT and as such, provides superior images when compared to radiographs and cone-beam CT imaging devices. Imaging is extremely fast (more on this later), so motion artifacts like those created by cone-beam CTs are not produced. In addition, cone-beam CTs require operators to rescan using separate algorithms for soft tissue, while Equina® can simply post-process the images for greater detail. For clinicians, this unmatched accuracy means superior diagnoses across more pathologies of the head, neck, and limbs, as well as more customized treatment plans for complex syndromes, including dental tumors and navicular disease.
View the case study
The Equina’s® capabilities can also be used for intraoperative imaging. The gantry can support the weight of horses, handlers, and surgical equipment, and the mechanism can easily be configured to repeatedly image a patient under sedation or general anesthesia.
Efficiency
When it comes to the bottom line, optimizing procedure safety and image accuracy translates into less demand on practice resources. The Equina® requires very few personnel; imaging is typically conducted with two to three people in attendance. A single scan takes only 30 seconds, and real-world use has shown that it takes approximately ten minutes to get the horse in and out of the room. This means a clinician can get accurate CT scans from 3 separate horses in as little as 30 minutes. Operators can scan two limbs at once under similar circumstances, then quickly configure the system to scan the head and neck as well.
It’s also worth noting that, while the Equina® was initially designed for use with horses, it is, in fact, a multi-functional piece of equipment. The configuration is flexible in its simplicity and there are no limitations on the size or breed of the animal that can be scanned. This offers great utility for practices that see a variety of large animals and could benefit smaller, non-equid patients such as goats, pigs, dogs, and cats.
Clinicians Can’t Afford to Settle for ‘Good Enough’
At this point in time, there are 3 Equina® installations in the world. They are located in the USA at the University of Wisconsin and the University of Minnesota, and in Australia at the University of Melbourne. Together these locations have scanned over 1,500 patients for diagnostic as well as screening purposes. The impact and potential the Equina has is unmistakable: greater safety, accuracy, and efficiency translate into lower risk and lower costs for veterinary practices that can then be passed on to clients. When a solution like Equina® exists, one that offers a greater return on investment, happier horses, and even happier owners, ‘good enough’ is no longer good enough.
Media Contact
Lauren Zaddack information@astoct.com 7921 UW Health Court https://www.astoct.com/



